Drut przebił serce 5-letniego Przemka spod Opoczna. Lekarze: „To cud, że żyje”

2022-08-26 13:21

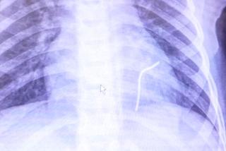
Pięciocentymetrowy kawałek metalowego drutu wystrzelił spod ostrza kosiarki jak z procy, przeszedł przez klatkę piersiową stojącego kilka metrów obok Przemka (5 l.) z okolic Opoczna (woj. łódzkie) i utkwił w jego sercu. Gdyby przebił je na wylot, chłopiec wykrwawiłby się na śmierć - Miał mnóstwo szczęścia – mówią lekarze z łódzkiego szpitala Centrum Zdrowia Matki Polki, którzy usuwali ciało obce z jego organizmu.

Tych dramatycznych chwil mama Przemka nigdy nie zapomni. W czwartek, 18 sierpnia, kobieta kosiła trawnik przed swoim domem, a jej synek w tym czasie bawił się nieopodal. W pewnym momencie ostrze kosiarki w coś uderzyło i spod maszyny wyleciał jakiś drobny przedmiot. Po chwili chłopczyk zaczął płakać. Choć na jego koszulce pojawiła się krew, a pod spodem niewielka ranka, początkowo wydawało się, że doszło do niegroźnego zadrapania. Kiedy jednak malec zaczął tracić przytomność, na miejsce wezwano pogotowie.

CZYTAJ TEŻ: 5-latek bawił się na podwórku, gdy drut przebił mu serce. Maluszek chciał podbiec do mamy

Stan chłopczyka błyskawicznie się pogarszał. Karetka przewiozła go do szpitala w Opocznie, gdzie lekarze ustalili, że w jego serduszku tkwi metalowy przedmiot. Zaczęła się dramatyczna walka z czasem, bo liczyła się każda minuta. Helikopterem Lotniczego Pogotowia Ratunkowego przetransportowano Przemka do specjalistycznego szpitala Centrum Zdrowia Matki Polki. Tu natychmiast trafił na blok operacyjny.

Drut przebił serce 5-letniego Przemka spod Opoczna. „To cud, że żyje”

- Niewątpliwie było zagrożenie życia - tłumaczy Dominik Stawiszyński ze Szpitalnego Oddziału Ratunkowego.

- Zabieg trwał około półtorej godziny – mówi Marek Kopala, ordynator Kliniki Kardiochirurgii. - Nie był specjalnie skomplikowany, natomiast chłopiec miał dużo szczęścia. Okazało się, że drut wbił się w serce i tam się zatrzymał. Gdyby przeleciał na wylot, najprawdopodobniej doszłoby do wykrwawienia i tego mógłby nie przeżyć.

Lekarze z Łodzi podkreślają wzorową współpracę ze swoimi kolegami z Opoczna i Lotniczego Pogotowia Ratunkowego.

- Wszystko było zgrane perfekcyjnie – dodają.

Przemek dochodzi już do siebie. Najprawdopodobniej w przyszłym tygodniu będzie mógł opuścić szpital.

Sonda
Czy lekarze w Polsce są odpowiednio wynagradzani?

Player otwiera się w nowej karcie przeglądarki